Expertise

Expertise endovasculaire, artérielle et veineuse

Cas cliniques illustrés et techniques endovasculaires avancées

Cette page présente des exemples de techniques endovasculaires avancées et de cas cliniques illustrés. Le contenu est informatif et ne remplace pas une consultation médicale individuelle.

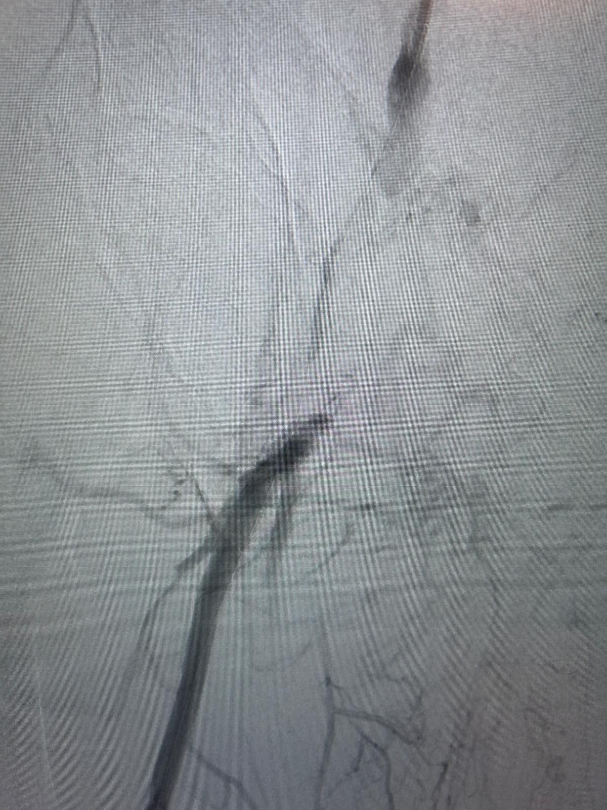
Endo-pontage fémoro-poplité par endoprothèses couvertes

Cas d'endo-pontage fémoro-poplité par endoprothèses couvertes après occlusions itératives intra-stent

Cas clinique

Patiente de 82 ans, tabagique sevrée, hypertendue.

Récidive précoce de claudication intermittente surale, serrée, invalidante (périmètre de marche inférieur à 30 m), du membre inférieur droit, datant depuis plus de 4 semaines.

Antécédents à deux reprises de recanalisation endoluminale et stenting (différents types de stents nus) du tiers proximal et distal de l'artère fémorale superficielle droite.

Imagerie pré-opératoire

Angio-TDM montrant une occlusion longue, intra-stent, hypodense, à l'origine de l'artère fémorale superficielle droite, mal compensée par la collatéralité fémorale profonde.

En distalité, belle artère tibiale postérieure unique assurant la vascularisation du pied.

Technique opératoire

Introducteur Destination 6F mis en place en "cross-over" par voie fémorale gauche, sous anesthésie locale.

Franchissement en intra-luminal de l'occlusion longue de l'artère fémorale superficielle droite à l'aide d'un guide 0.014 HALBERD, puis 0.014 NEXT 3 GAIA et d'une sonde d'angiographie 0.018 CXSI.

Changement de guide sur sonde d'angiographie et mise en place d'un guide 0.014 THRUWAY dans l'artère poplitée.

Angioplastie endoluminale de pré-dilatation de l'artère fémorale superficielle à l'aide d'un ballon 0.018 STERLING 4X220 MM.

Sténoses serrées étagées et thrombus d'apposition résiduels en intra-stent.

Mise en place d'une endoprothèse couverte VIABAHN 6X100 MM dès l'origine de l'artère fémorale superficielle et d'une endoprothèse couverte VIABAHN 6X150 MM au niveau du tiers distal de l'artère fémorale superficielle et de la jonction fémorale-poplitée.

Angioplasties endoluminales étagées intra-stent à l'aide d'un ballon 0.018 ARMADA 18 5X150 MM.

Résultat

Excellent résultat anatomique immédiat au contrôle artériographique per-opératoire.

Respect de la perméabilité de l'ostium de l'artère fémorale profonde et de ses collatérales au niveau de la jonction fémoro-poplitée.

Aucune embolisation distale per-opératoire constatée au niveau des artères de jambe et du pied.

Très bonne revascularisation clinique du pied et excellent pouls tibial postérieur droit.

Discussion

Alternative à la thrombo-aspiration ou l'athérectomie endovasculaire pas toujours efficaces pour des thromboses itératives intra-stent datant depuis plus de 4 semaines.

Précision de largage des endoprothèses couvertes auto-expansibles VIABAHN dans l'artère fémorale superficielle soumise à d'importantes contraintes mécaniques, avec respect des collatérales de l'artère fémorale profonde en cas d'occlusion itérative.

Véritable endo-pontage percutané. Technique simple et reproductible.

Images et contenu : Dr Jérôme Albertin — reproduction interdite.

Ballon actif BTK dans l'ischémie critique

Premier cas ballon actif BTK à la Polyclinique Notre Dame, Draguignan

Cas clinique

Homme de 63 ans, ancien tabagique actif, hypertendu et dynamique.

Claudication surale du membre inférieur gauche depuis plusieurs mois, puis apparition d'une ischémie critique du membre inférieur gauche (douleurs de décubitus) depuis plusieurs semaines.

Imagerie pré-opératoire

Angiographie TDM montrant une lésion ectasique de l'artère poplitée rétro-articulaire de 11mm de diamètre, associée à du thrombus circonférentiel entraînant un effet de sténose à plus de 70%, sans calcification.

Altération majeure du lit d'aval artériel : occlusion de la terminaison de l'artère poplitée basse et du tronc tibio-fibulaire, associés à une occlusion proximale des 3 artères de jambe réinjectées à leur tiers proximal par la collatéralité des artères jumelles.

Technique opératoire

Introducteur Destination 6F mis en place en cross-over.

Franchissement de la sténose de l'artère poplitée et de l'occlusion des artères de jambe à l'aide d'un guide 0.014 Gaia Next 3 et d'une sonde d'angiographie 0.018 CXSI.

Manœuvre d'échange sur sonde d'angiographie et mise en place d'un guide 0.014 Thruway dans l'artère tibiale postérieure.

Recanalisation du tronc tibio-fibulaire et de l'artère tibiale postérieure grâce au nouveau ballon actif 0.014 LITOS 3x80mm inflaté à 12 ATM pendant 2,5min.

Mise en place d'une endoprothèse couverte courte au niveau de l'artère poplitée rétro-articulaire (P2).

Résultat

Excellent résultat persistant de la recanalisation endoluminale des artères jambières sur le contrôle per-opératoire 15 min après la fin de la recanalisation.

Aucune embolisation distale constatée au niveau des artères du pied.

Disparition de l'ischémie du pied gauche.

Excellent pouls tibial postérieur gauche.

Discussion

Pas de pré-dilatation réalisée au vu du caractère peu calcifié des lésions et du risque d'embolisation distale.

Image de spasme de l'artère tibiale postérieure en aval traitée par une injection intra-artérielle de 3mg de Risordan. Disparition immédiate du spasme.

Images et contenu : Dr Jérôme Albertin — reproduction interdite.

Endofixation du collet aortique (Heli-FX EndoAnchor)

Cas clinique

Patient âgé de 84 ans, présentant un Anévrisme de l'Aorte Abdominale sous-rénale, de plus de 55 mm de diamètre, douloureux, avec un collet aortique sous-rénal de 10 mm de hauteur, avec angulation antérieure de 20 degrés, sans thrombus circonférentiel, rapidement conique.

Antécédents de cardiopathie ischémique sévère et de stenting coronarien récent rendant le patient à haut risque chirurgical pour une mise à plat greffe aortique en urgence.

Le caractère douloureux de l'AAA ne permet pas d'attendre la conception et la mise en place d'une endoprothèse aortique fenestrée.

Technique opératoire

Abords percutanés des 2 scarpas, écho-guidés. Mise en place de chaque côté en "pré-closing" de 2 Perclose ProStyle.

Mise en place d'une endoprothèse aortique ENDURANT II au ras de l'artère rénale gauche la plus basse. Mise en place des extensions iliaques.

Fuite de type IA persistante au contrôle artériographique per-opératoire après inflation prolongée du collet aortique proximal et de la totalité de l'endoprothèse aortique à l'aide d'un ballon ENDURANT. Pas de possibilité de mettre en place une CUFF aortique plus proximale.

Mise en place de 8 Heli-FX EndoAnchor en "STOCK", mises en "croix", au niveau du collet aortique sous-rénal, juste en aval de l'artère rénale gauche.

Disparition immédiate et complète de la fuite de type IA sans nouvelle inflation du corps de l'endoprothèse.

Fermeture per-cutanée des abords fémoraux avec le système ProStyle.

Contrôle angio-TDM à J2 post-opératoire

Parfaite perméabilité de l'endoprothèse aortique ENDURANT II. Exclusion complète du sac anévrismal. Absence de fuites de type I et II. Absence d'anomalie au niveau des abords fémoraux percutanés.

Discussion

La disponibilité permanente et l'utilisation du système d'endo-fixation Heli-FX EndoAnchor et sa mise en place immédiate lors de la constatation per-opératoire d'une fuite de type IA pour les patients à hauts risques chirurgicaux devant être opérés en urgence ou semi-urgence est une vraie alternative thérapeutique pour obtenir une exclusion immédiate de l'anévrisme aortique sous-rénal avec collet court.

De façon plus générale, en dehors du contexte d'urgence, cette endo-fixation en complément de la mise en place d'une endoprothèse aortique sous rénale ENDURANT II pourrait permettre le traitement d'anévrismes aortiques avec un collet aortique sous-rénal court en obtenant une étanchéité proximale immédiate et pérenne à moyen/long terme.

Images et contenu : Dr Jérôme Albertin — reproduction interdite.

Athérectomie endovasculaire

Préparation artérielle avant angioplastie par retrait ciblé de plaque d’athérome

Principe

L’athérectomie endovasculaire est une technique mini-invasive permettant de préparer une artère avant une angioplastie par ballonnet. Elle consiste à retirer de manière ciblée la plaque d’athérome, notamment calcifiée, à l’aide de sondes spécifiques - sorte de "foreuse" - introduites par voie endovasculaire, sans ouverture chirurgicale de l’artère.

Indications

Cette technique permet de traiter des localisations artérielles complexes qui nécessitaient auparavant un abord chirurgical direct, en particulier :

  • le trépied fémoral au pli de l’aine,
  • l’artère poplitée en région rétro-articulaire.

Intérêt thérapeutique

En retirant la plaque d’athérome calcifiée, l’athérectomie permet dans de nombreux cas d’éviter la mise en place d’un stent dans des zones de flexion. Ces zones sont soumises à d’importantes contraintes mécaniques, exposant les stents à un risque de fracture et de thrombose secondaire.

Cette stratégie peut ainsi permettre d’éviter une revascularisation chirurgicale plus lourde, telle qu’un pontage artériel ou une endartériectomie par abord direct.

Bénéfices pour certains profils de patients

L’intérêt de cette approche est particulièrement marqué chez les patients en surpoids et/ou diabétiques, pour lesquels la cicatrisation après chirurgie ouverte est plus difficile et associée à un risque accru d’infection de la voie d’abord.

Illustrations

Images et contenu : Dr Jérôme Albertin — reproduction interdite.

Traitement endoveineux des varices des membres inférieurs

Occlusion endothermique des veines saphènes par laser ou radiofréquence

Principe

Le traitement endoveineux des varices repose sur l’occlusion endothermique des grandes veines saphènes pathologiques à l’aide d’une sonde de laser ou de radiofréquence, introduite par voie percutanée sous contrôle échographique.

Modalités de prise en charge

Cette technique mini-invasive est réalisée au bloc opératoire, en ambulatoire, de manière percutanée, sans incision chirurgicale majeure, et sous guidage échographique tout au long de la procédure.

Place dans la stratégie thérapeutique

Le traitement endoveineux est actuellement recommandé en première intention, lorsque l’anatomie le permet, avant le stripping chirurgical conventionnel, conformément aux recommandations des sociétés savantes.

Bénéfices cliniques

Comparé au stripping, le traitement endoveineux est associé à moins de douleurs post-opératoires, moins d’hématomes, une reprise plus rapide des activités quotidiennes et un port de bas de contention généralement plus court. Il ne nécessite pas d’ouverture au niveau du pli de l’aine.

Indication personnalisée

L’indication de ce traitement est posée au cas par cas, en fonction de l’anatomie veineuse du patient, des symptômes cliniques et des résultats de l’examen écho-Doppler.

Illustration

Texte et contenu : Dr Jérôme Albertin — reproduction interdite.